drbedoya.com REFRESHINGLY DIFFERENT

El Dr. Juan Bedoya, Doctor Honoris Causa en Medicina Estética y Regenerativa, ha realizado una exitosa carrera en el ámbito de la Estética, la Medicina Regenerativa, el tratamiento del Dolor, y la educación. Este centro es fruto de la experiencia adquirida en su formación en el extranjero con grandes equipos de trabajo y Centros de Investigación. Trabajó como Profesor Universitario y miembro de Comités centrales de investigación. Tambien participa de programas de postgrado en el extranjero y da conferencias en congresos internacionales donde ha ganado premios y reconocimientos. Dentro de sus estudios y experiencia el ha sido:

  • Presidente Honorario Colegio de Medicina Estética Minimamente invasiva, México.
  • Doctor Honoris Causa Medicina Estética Universidad Innova México.
  • Master Bioética y Derecho U. Barcelona
  • Diplomado en Sueroterapia
  • Diplomado en Hormonoterapia Bioidentica.
  • Diplomado en Cirugía Reconstructiva Cabeza y Cuello.
  • Miembro American Academy of Cranio Facial Pain
  • Miembro Academia Internacional de Implantologia y Periodoncia
  • Miembro Sociedad Chilena de Ortodoncia.
  • Miembro Sociedad Chilena de Implantologia.
  • Miembro Sociedad Chilena de Educación en Ciencias de la Salud.
  • Miembro Sociedad Argentina de Patologia de ATM.
  • Miembro Fundador Sociedad Argentina Ortodoncia Lingual.
  • Co-Autor Atlas Implantologia Oral. Oscar Ranalli.
  • Miembro Fundación Cirugia Plástica y Reconstructiva Internacional Dr. Rafael Dávila.
  • Reconocimiento Academia Internacional Lipoescultura y Colegio Medicina Estetica Humana, Estatuilla al Lipoescultor.
  • Reconocimiento XIV Congreso Internacional de Medicina Regenerativa y Ortomolecular. Ciudad de Mexico.

Maximizar la Estética, la Función, y tratar el Dolor Crónico desde un diagnóstico integral, con procedimientos mínimamente invasivos, reduciendo los tiempos de tratamiento, la inflamación y el dolor, en base a la más alta calidad científica, los últimos avances, y la experiencia. Observar el cremiento, el desarrollo, para restablecer la función y delinear contornos, devolviendo la belleza en las estructuras. Hoy es posible la regeneración de las estructuras, el lifting de tejidos, en procedimientos simples o complejos, independientemente de la edad. Contamos con Pabellones, Radiología Digital y Sedación para realizar procedimientos y cirugías en forma personalizada, en un mismo lugar, con mínimas molestias de forma ambulatoria. Tenemos años de experiencia con excelentes resultados.

Edificio Médico Tabancura 1090 Zócalo 6, Vitacura, Santiago de Chile. (Consulte por Viña del Mar) Whatsapp: +56 9 89927432. Mail: drbedoya.com@gmail.com

  • Lifting y Rejuvenecimiento Facial Láser o Quirúrgico.
  • Ácido Hialurónico, Vitaminas, Botox.
  • Hilos de Suspensión.
  • Modelado de Labios, Ojos y Rinomodelación.
  • Plasma Láser y Sueroterapia de Rejuvenecimiento.
  • Láser (Dolor, Blanqueamiento, Depilación Definitiva )
  • Lipoclisis, Papada y Bichectomías.
  • Procedimientos de Cirugía Menor en Pabellón Certificado.
  • Área Odontología Estética y Ortodoncia Invisible Diseño de Sonrisa, Blanqueamientos, Implantes, Bruxismo.

BOTOX: Utilizamos por seguridad sólo la marca registrada BOTOX. Sirve para disminuir arrugas en la frente, contorno de ojos, entrecejo, nariz, mentón y cuello (Nefertiti Lift)... Gracias a sus asombrosos resultados y bajo riesgo de efectos secundarios, este procedimiento se ha usado con seguridad y éxito hace más de 10 años en casos de estética, cefaleas, hiperhidrosis y bruxismo. Una correcta aplicación deja rostros con expresión y la reeducación muscular hace los efectos más duraderos.

Acido Hialurónico: Es un producto natural, biodegradable y que por su alta calidad se reabsorbe en 18 meses no como otros productos más baratos. Es importante en la formación de colágeno nuevo y en la organización de la matriz extracelular. Esto permite esculpir y ver resultados desde la primera sesión y rellenar líneas glabelares, líneas de la frente, arrugas, cicatrices, depresiones, labios, manos, pómulos, además de rinomodelación y Lifting facial.

Hilos de Suspensión: Con el paso de los años no sólo la piel pierde tonicidad, sino los tejidos y compartimientos grasos caen deformando progresivamente la piel, la cara y el cuello. Esto clínicamente se ve como lineas de Marioneta marcadas, Joules debajo de la comisuras o perritos que hacen ver el rostro triste, parpados caídos, cejas tristes o un cuello abultado o con mal aspecto.

Tratamientos Láser

Corresponde a tratamientos alta tecnología, que permiten tratar distintas lesiones, dolores, enfermedades, así como procedimientos de estética y cirugía por lo que actualmente son potentes herramientas. Existen muchos equipos de distintas marcas comerciales, pero lo importante a destacar es que estos son altamente específicos para sus “células target”, de tal manera que cuando son disparados en la piel sólo tratan ésta célula blanco, sin dañar tejido vecino, dependiendo de la longitud de onda en que trabaje el equipo láser,por lo cual pueden disminuir manchas, lunares o lesiones. También pueden estimular la formación de nuevo tejido colágeno, lo que permite rejuvenecer la piel, o desinflamar tejidos, lo cual es útil para el tratamiento del dolor. Es por esto importante un correcto diagnóstico para conseguir buenos resultados en cualquier procedimiento para evitar efectos colaterales indeseados.

Depilación Láser Diodo Definitiva Indolora

  • Plasma (PRP) y Factores de Crecimiento: Restaura la vitalidad cutánea, recupera la turgencia y elasticidad de la piel, mejora la circulación sanguínea, disminuyendo las arrugas incrementando la tersura y apariencia de la piel. También útil en ALOPECIA.
  • Vitaminas: En Mesoterapia, Sueros y Crémas, para nutrir dermis y tejido conectivo, y eliminar sustancias tóxicas del organismo, homogeneizar la pigmentación de la piel y aumentar la tasa de regeneración celular.
  • Peelings y Cosmiatría: Para limpiar la piel, disminuir porosidades y rugosidades, y renovar los tejidos en distintas profundidades. Muy útil para disminuir surcos, manchas, lograr una piel más tersa y con un color más homogéneo y eliminar las arrugas pequeñas.
  • Lifting y Rejuvenecimiento Facial
  • Bioplastía Facial, Contorno de Ojos, Ácido Hialurónico, Botox.
  • Hilos de Suspensión, Modelado de Labios, y Rinomodelación.
  • Plasma Láser y Sueroterapia de Rejuvenecimiento.
  • Láser Diodo Depilación Definitiva Indolora.
  • Lipoclisis, Papada y Bichectomías.
  • Procedimientos de Cirugía Menor en Pabellón Certificado.
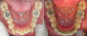
Área Sonrisa, Ortodoncia Lingual y Odontología Estética

Visite nuestra "Smile-zone" , donde nuestro equipo de profesionales altamente calificados dirigidos por el Dr. Bedoya estarán encantados de ofrecerle una amplia gama de tratamientos para mejorar rápidamente su Cara y su Sonrisa. Son Años de experiencia en reconstrucciones de Rostros, Sonrisas y bocas completas, mejorando desde la estética de sus dientes hasta el tratamientos de Neuralgías, Artrosis de ATM, Bruxismo y detección de cáncer oral. Miles de procedimientos certifican la calidad, estabilidad y estética de nuestros resultados.

  • Diseño de Sonrisas: Blanqueamiento Láser, Carillas, Coronas de Porcelana y Circonio.
  • Regeneración Ósea e Implantes.
  • Ortodoncia Lingual Invisible y Ortodoncia Interceptiva con micro Brackets.
  • Tratamiento Dolor, Neuralgias, ATM y Bruxismo.
  • Odontología Estética Niños y Adultos.
  • Radiología Digital
  • Cirugía Oral y Maxilofacial: Terceros molares con sedación.

Neuralgias, Dolor y Bruxismo.

  • Dolor o molestias al comer o bostezar.
  • Dificultad o ruidos al abrir o cerrar la boca.
  • Dolor en varios dientes o en las encías.
  • Rechinar o apretar los dientes en el día y/o la noche.
  • Dientes, coronas o puentes que dan la sensación progresiva de morder mal.
  • Desgastes dentarios o fracturas progresivas.
  • Dolores de cabeza o cara, cuello o espalda frecuentes.
  • Sensibilidad a la luz o a los ruidos.
  • Ticnitus, dolor o zumbido en los oídos.
  • Dolores referidos a otras partes del cuerpo como brazos, manos, pies, etc.
  • Disminución de la audición o mareos.
  • Cansancio o fatiga muscular.
  • Alteraciones o torción en la postura o dirección de la cabeza, cuello o cuerpo.
  • Alteración en la simetría de la Cara. (Se achica o Cae)
  • Sueño no reparador, incompleto.
  • Despertar apretando los dientes.
  • Ronquidos o apnea del sueño.

Luxación anterior de menisco articular antes y después del tratamiento. Provocaba asimetría de la cara y bruxiemo, y cefaleas crónicas.

Electromiografía de superficie de pacientes con alteración neuromuscular después de tratamiento.

Compresión suboocipital causante de cefaleas y dolor cervical.

Plano de relqjacrel ajustado según resonancia nuclear magnetmag para paciente con perforación de menisco articular.

Resonancia de paciente con perforación de menisco articular.

Alteraciones posturales que provocan sintomatología en cuello y espalda relacionadas con alteraciones en la oclusión del paciente.

Ortodoncia, Diseño de Sonrisa y Estética

Ortodoncia Lingual Invisible

Confíe en nosotros, pinte con Color y Luz su rostro. Nuestras tarifas reflejan el estándar de tratamiento ofrecido, la atención personalizada, la calidad superior de la tecnología y los materiales utilizados . No queremos barreras financieras para su Salud y Belleza. Una vez que haya sido evaluada en su primera consulta por el Dr. Bedoya, estando de acuerdos con un plan de tratamiento, podemos analizar varios métodos de pago que se ajusten a usted. Aceptamos documentos y tarjetas de crédito hasta en 12 cuotas sin interés. Puede enviarnos fotos y preguntas a través de Whatsapp o correo antes de coordinar su consulta con el Dr. Bedoya.

  • Edificio Médico Tabancura 1090 Zócalo 6, Vitacura, Santiago.
  • Consulte por atención en Viña del Mar.
  • e-mail: drbedoya.com@gmail.com
  • Whatsapp: +56 9 89927432
Dr. Juan Bedoya

El Dr. Juan Bedoya, Director de este Establecimiento, ha realizado una exitosa carrera en el ámbito de la estética y educación. Este centro es fruto de la experiencia adquirida en su formación en el extranjero con grandes equipos de trabajo y Centros de Investigación. Ex-docente de la Universidad Diego Portales y ex-miembro del comité central de Ética en Investigación. También participa de programas de postgrado en el extranjero y da conferencias en congresos Internacionales donde ha ganado premios y reconocimientos.

  • Presidente Honorario Colegio de Medicina Estética Mínimamente Invasiva, México
  • Doctor Honoris Causa Medicina Estética Universidad Innova. México.
  • Miembro American Academy of Cranio Facial Pain.
  • Miembro Academia Internacional de Implantología y Periodoncia Currículo
  • Miembro Sociedad Chilena de Ortodoncia.
  • Miembro Sociedad Chilena de Implantologia
  • Miembro Sociedad Chilena de Educación en Ciencias de la Salud
  • Miembro Sociedad Argentina de Patologia de ATM
  • Co-Autor Atlas Implantología Oral. Oscar Ranalli.
  • Miembro Fundación Cirugía Plastica y Reconstructiva Internacional Dr. Rafael Dávila.

Cursos y Fundación: Cada 6 meses se realizan cursos prácticos personalizados a Médicos y Cirujanos Dentistas en Santiago de Chile, certificados por el Colegio Internacional de Medicina Estética Mínimamente Invasiva con sede en México. Máximo 8 cupos. Informaciones a: ceacmf@yahoo.com

  • Anatomía Estética Facial aplicada a la clínica Estética: Bioplastía facial, rellenos, Toxinas, Rinomodelación, Voluminización 3D facial con Cánulas, vitaminas. 40 horas.
  • Bichectomía y Cirugía Oral: como evitar y manejar complicaciones. Indicaciones, Anatomía Aplicada, Bio-seguridad, Técnica Quirúrgica, complicaciones. 40 horas
  • Diagnóstico, Tratamiento Dolor y Patologías Cráneo Cervico Faciales. 40 horas.
CREADO POR
juan bedoya

Créditos:

Creado con imágenes de Engin_Akyurt - "model face beautiful" • CihanU44 - "lipstick make-up lip makeup dental crystal lipstick" • Alexas_Fotos - "girl color black and white" • Engin_Akyurt - "model face beautiful"